Many of you will be aware of the catastrophic crash of 'American Magic' during a round of the Prada Cup, the 2021 America’s Cup challenge series.
Everyone was concerned about the boat sinking - it very nearly did - but my initial response was, “fortunately it looks as though every sailor is wearing a helmet."
Hey, I’m a neurologist – what would you expect?"
Fig 1 - 'American Magic' capsizes in the Prada CupTo be honest, I was not surprised. I was aware that most sailing athletes competing in events like the America’s Cup, with high forces at work, have seen the need to protect their head. At a collegiate level in the US, Massachusetts Institute of Technology (MIT) was one of the first teams to mandate helmet use in their student sailing athletes (see below).
The real contentious issues extend to the junior programs, where I believe they are most important. College students and above are perhaps old enough to make their own decisions but younger athletes whose brains are still maturing are under our charge as parents and educators. [Parenthetically, brains do not become fully mature till after 25 years of age which may explain why many of us displayed some questionable behavior in our youth!].
So, look at Figure 1 above. We know that all of the sailors survived and were described as “safe” and we take that to mean that they were unscathed. But can we be so sure? Part of the problem is in the terminology of concussion and the understanding of what actually happens during a head injury.
Terminology first. In the US and to a great extent in the UK and elsewhere, the term concussion and mild traumatic brain injury (mTBI) are used synonymously. The best way to think about it, is this illustration by the CDC:
Fig 2 - Mild, Moderate, & Severe Traumatic Brain Injury. Only mild is referred to as 'concussion'. Figure 3 from Mayo Foundation illustrates the common types of mechanisms which cause concussion:
Fig 3 - Three types of concussion (Mayo clinic). I would note that the middle illustration (acceleration-deceleration) does not accurately depict what occurs in this type of injury. [I hate to criticize Mayo, but the artist was given a difficult assignment]. Although there may be some bruising of the brain as it shifts back and forth in the skull, the majority of the injury to the brain is in the 'white matter' tracks inside the brain. These injuries cannot be easily shown in this view of the brain.On the water we are not usually concerned with blast injuries, but the other two mechanisms of injury are frequent. Direct impact occurs when the head is struck directly by an object, classically the boom whipping around on a jibe (been there, done that!). But anything that strikes the head can cause a concussion. There are often some external signs, i.e. visible bruising or laceration over the head.
Fig 4 - Direct Impact with visible sign of blunt traumaThe second type of injury – and the most important - is acceleration-deceleration and occurs when the head moves back and forth (often with an element of rotation) and the brain shakes back and forth within the skull. This is basic Newtonian physics (An object in motion…).
The brain has the consistency of a moderate sized jelly mold - it’s been many years since I held a brain in my hands but as I recall it did resemble a jelly mold. And the reason that’s important is that the jelly-mold-resistance to shaking back and forth helps to explain the stretching of the nerve fibers that is seen in this type of concussion.1
Acceleration-deceleration will occur with a fall or any rapid unexpected movement – I’m looking at you, sailor. That is, you do NOT need to be struck in the head to have a concussion and there may be no external evidence of an injury.
As the brain is moving fore and aft in the skull the brain can be injured in two ways:
Fig 5 - Jelly mold brain
Fig 6 - Damage to some selected nerve fibers (axons) as seen on MRI-DTIHowever, in most patients with concussion (mild traumatic brain injury) the routine CT scan and MRI scan are normal or have minimal changes.
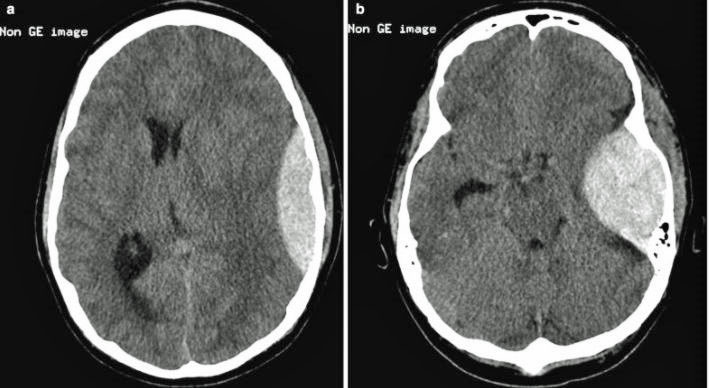
On the other hand, moderate and severe head injuries are often a neurosurgical emergency and usually have scans that are obviously abnormal, as in the MRI scan below with a large epidural hematoma (hemorrhage).
Fig 7 - Epidural Hematoma as seen in more severe traumatic brain injurySo, if the CT and MRI scans are normal in most patients with concussion and we don’t yet have any other biomarkers, like blood tests or electrical tests – we are getting closer and hopefully will have something dependable in the next few years – how do you make a diagnosis? Well, concussion is what we refer to as a clinical diagnosis – it depends on the symptoms and signs that the person is exhibiting. The table below from the CDC lists typical signs and symptoms of a concussion relevant to "sideline" or in our case "waterline" assessment.
I know what some of you are thinking….
"I’ve experienced virtually all of the symptoms listed above and my spouse has displayed most of the signs, especially the one about forgetting an instruction".
And if concussions are "mild" and the MRI scan is negative what’s all the fuss about?
All the "fuss" is about the fact that although 85% of patients improve fully after a period of time that leaves 15% or so who have persistent symptoms lasting months to years.
So much for the "mild" in mild traumatic brain injury.
I would refer the neuro-geeks among you to the Case Records of the Massachusetts General Hospital recorded in The New England Journal of Medicine August 29, 2019 entitled Case 27-2019: A 16-Year-Old Girl with Head Trauma during a Sailboat Race.
"She was racing in a regatta when she was struck in the head by the boom of another team’s boat. She may have sustained a second head strike by her team’s boom later in the race. She had amnesia (no recollection of the accident(s) or the ambulance ride). In the emergency department she felt confused, dizzy, unsteady, and complained of headache. Eleven days later when she was seen in the concussion clinic, she was still experiencing dizziness, balance problems, fatigue, difficulty reading and concentrating, and was irritable. Her neurologic examination was still abnormal. She slowly improved over time although she continued to have persistent mild cognitive issues."
In concussion all the "action" as we have seen is occurring at a microscopic level. There is stretching of the nerve fibers (axons), some tearing of the microscopic blood vessels in the brain, and an element of neuro-inflammation. That explains why it has been so difficult to develop biomarkers of concussion.3
Are there any objective tests for concussion? At this point in the early "20s" we are left with a number of clinical tests which while not conclusive may be helpful, especially to trainers, coaches and Sports Medicine types:
Some have been used acutely, right after a concussion (King-Devick) and some require pre-testing to compare with the after-head-injury results (ImPACT). I am trying very hard to avoid a snarky remark about how in the US everything becomes commercialized and the commercialization often obfuscates the true value. I suppose I’ve failed.
So, let’s return to the American Magic. The sailors were all described as "safe", i.e. alive without gross injuries.
But what about their brains? They all were wearing helmets so that was a good start. Could some of the sailors have sustained a concussion? And the ultimate question, do helmets protect against concussions?
I would hazard a guess that one or more sailors on American Magic could very well have sustained a concussion, based upon the rapid deceleration which occurred when the boat slammed onto its side. Some of the sailors could have struck their head as well. However, I have no knowledge whatsoever of their condition.
Well then, do helmets protect the brain against concussions or not? The answer is yes to some degree. If you look at the Mayo illustration above (Figure 3), you can see that helmets would definitely be expected to lessen the impact from a direct blow as might occur from a boom. [I was certainly not wearing a helmet when I sustained a concussion – but that was 35 years ago, and sailors were not wearing helmets last century (unassailable excuse!).] However, and this is a big however, a helmet will NOT protect the brain from the damage that is caused by its shaking back and forth within the skull (acceleration-deceleration). It may absorb some of the impact and reduce the movement of the head somewhat, but Newtonian laws of inertia still apply. Do we have any evidence at all that helmets offer protection against concussion? As mentioned in the book 'Healthy Boating and Sailing' by the author [shameless plug], MIT has not had any concussions since adopting its current policy.
MIT Sailing Master Fran Charles in 2015:
Hockey, skiing, bicycling all went through the "wake-up moment" years ago, and our sport is also beginning to become more aware of the debilitating effects head injury has on the brain.
Leadership to actually make this change happen is the key ingredient which is missing. Boats can be redesigned to have the boom higher. Booms can easily be made dramatically lighter. And either the boom can be padded or the head can be protected, or both, to reduce the likelihood of someone sustaining and injury to their brain.
At MIT we recognized that head injuries were the single most frequent injury which our sailing team members were seeking medical attention for. Not only were our injured sailors falling behind on their schoolwork, but we had a few sailors who actually had to withdraw from MIT entirely because of chronic pain and headaches as a result of their injuries.
However, head injury statistics have changed dramatically since we took action to reduce the risk to our competitive sailors, as well as recreational sailors. With over 3000 students who sail actively at MIT every year, a decision was made to do as much as we could to make the sport safer. (author italics)
Our existing racing fleet of FJs were retrofitted with carbon booms and our new boats were ordered with the rig 4-inch taller so the ‘baseball bat’ boom would be less likely to hit sailors. The Tech Dinghy sail plan now has a dramatically shorter leech which makes things much less painful for our novice sailors to develop a love and passion for the game. Also, every sailor wears a helmet when sailing a dinghy.
Head injuries haven’t occurred since we implemented this change. MIT is not sure of what helmet is the right helmet, but we do know that there are many more fun ways to kill brain cells than to get hit by a piece of aluminum.
At our college regattas, and we host more days of competition than any other university, we do not require visiting sailors to wear helmets. However, our high school regattas and recreational regattas, like the Charles River Open Team Race, do require all participants to wear a helmet of their own choice.
At MIT we looked at the problem of head injuries as something which needed multi-pronged solutions. One layer of protection is not going to eliminate the problems. Boat designers, class leadership, organizational officers should all begin to collaborate on how to make sailing safer. Discussion is not enough.
Immediate action should be taken now. Are you the one to help make sailing safer for your friends, sailing team, and youth? Let’s all exhibit some common sense and keep sailing as something to enjoy.
It is also important to remember that not only are helmets important in reducing the risk of concussion / mild traumatic brain injury, but they are vital to prevent or reduce the likelihood of moderate or severe brain injury (see figures 2, 3 and 7). That is, helmets reduce the chances that you will sustain a brain injury which would require hospitalization and possibly neurosurgical intervention. If avoiding having your head opened up isn’t incentive enough then… (restrained snarky comment).4

What type of helmet is best? The one that fits well and you actually wear! Sailing World reviewed a sample of sailing helmets in November 28,2016. There were a number of choices, as illustrated above, but the major difference was in the padding. There are two types: polystyrene or closed cell. The polystyrene will absorb a bigger impact, but it is a "one-hit" helmet, meaning that after a significant strike it needs to be replaced. The closed cell foam on the other hand can be used over and over again, is thinner and closer fitting.

The following is my personal opinion on who should wear a helmet and when:
Whether helmet use should be "mandated" is another topic. US Sailing has taken a middle ground of recommending encouragement over mandate.5 We don’t like mandates in the US. We fought the requirement for automobile seat belts for heaven’s sake. And as I mentioned in the book (second shameless plug) I am writing this from Pennsylvania where a mandatory helmet law for motorcycles was actually repealed! But as sailboats are increasingly "foiled" and sailors move ever more rapidly through and above the water, I suspect that helmet use will become commonplace and as accepted as seatbelts in motor vehicles.
1If you don’t find it too gross, the mold is available on Amazon. And you don’t have to deal with the formaldehyde smell!
2There is a new MRI technique which is beginning to be utilized known as DTI which is sometimes able to demonstrate damage to the long nerve fibers (axons).
3Similarly, after shaking your jelly mold back and forth you may not notice any tiny internal tears -- similar to the tiny tears that occur with acceleration-deceleration injuries. On the other hand, if you bump the jelly mold against the wall, or it touches the floor, you might want to shave off that damaged piece on the surface – similar to a brain bruise from being struck by the boom.
4The two quotations below are taken from a website Scuttlebutt Sailing News May 30, 2019. They are presented to give some idea of the anti-science crowd that is still out there in the sailing community
5See Practical Sailor May 29, 2019
Oct 27, 25 09:18 AM
Oct 26, 25 03:35 PM
Oct 18, 25 04:02 AM